Location: Home >> Detail
TOTAL VIEWS
J Psychiatry Brain Sci. 2022;7:e220014. https://doi.org/10.20900/jpbs.20220014
1 Department of Psychiatry, and National Clinical Research Center for Mental Disorders, The Second Xiangya Hospital of Central South University, Changsha 410000, Hunan, China
2 Shandong Provincial Hospital Affiliated to Shandong First Medical University, Jinan 250021, Shandong, China
3 Guangdong Mental Health Center, Guangdong Provincial People's Hospital, Guangdong Academy of Medical Sciences, Guangzhou, 510080, Guangdong, China
4 RIKEN AIP, Tokyo 1030027, Japan
5 Department of Psychiatry, Sir Run-Run Shaw Hospital, School of Medicine, Zhejiang University, Hangzhou 310016, China
† These authors contributed equally to this work.
* Correspondence: Xiaogang Chen, Tel.: +86 731-85292158; Fax: +86-731-85333525; Jinsong Tang, Tel.: +86-18258457297; Fax: +86-571-86044817.
Background:Auditory verbal hallucinations (AVHs), one of the hallmark positive symptoms of schizophrenia (SCZ), affect 60-80% of SCZ patients. However, the neuroimaging mechanisms underlying AVHs, particularly persistent AVHs, are currently unknown. The aim of this study was to explore the neuroimaging mechanisms of persistent AVHs by comparing the characteristics of changes in fractional amplitude of low frequency fluctuations (fALFF) values of subjects.
Methods:64 SCZ patients with persistent AVHs, 39 patients with non-AVHs, and 60 healthy controls (HC) underwent a resting-state functional magnetic resonance imaging (MRI) study. The fALFF was used to assess localized spontaneous neural activity in the brain of three groups of subjects. The Positive and Negative Symptoms scale (PANSS) was used to rate the severity of patients' psychiatric symptoms; the P3 item on the PANSS scale was used to assess the severity of persistent AVHs.
Results:SCZ patients with persistent AVHs had lower fALFF values in the right lingual gyrus, right postcentral, and left supplementary movement area (SMA) than in the HC, and higher fALFF values in the right medial superior frontal, left inferior parietal lobule, left precuneus, and right supramarginal than in the HC. SCZ patients with non-AVHs had lower fALFF values in the left lingual gyrus, right postcentral, and left supplementary motor area than in the HC group, while higher fALFF values were found in the right medial superior frontal only. However, there was no difference in fALFF values between patients with persistent AVHs and non-AVH patients.
Conclusions:These results suggest that local spontaneous neural activity was significantly impaired in the brains of patients in the AVH and non-AVH groups compared to those in HC, and that altering spontaneous neural activity in these brain regions may be of value in the treatment of SCZ.
Schizophrenia (SCZ) is a chronic and highly disabling severe mental disorder with a lifetime prevalence of approximately 1% [1]. Verbal auditory hallucinations (AVHs) are both one of the most common core symptoms of SCZ and an important diagnostic criterion for SCZ, affecting approximately 60%–80% of people with SCZ [2]. Concurrently, up to 30% of AVHs are ineffective with antipsychotic medication and have been shown to be strongly associated with long-term social functioning and quality of life in SCZ patients [3].
Resting-state functional magnetic resonance imaging (fMRI) has emerged as a promising tool for exploring brain activity in vivo, greatly improving our understanding of the pathophysiology of the SCZ [4]. The fractional amplitude of low frequency fluctuation (fALFF) has been used as an efficient and reliable neuroimaging marker for exploring brain activity in resting areas of neuropsychiatric disorders, including the SCZ [5]. Compared to amplitude of low frequency fluctuation (ALFF), fALFF effectively reduces physiological noise such as ventricular, heartbeat and respiratory noise and can more accurately respond to local spontaneous neural activity in the brain [6]. Although both measures are relatively reliable and have the potential to be potential biomarkers for the study of mental illness [7,8], Zou et al. suggest that fALFF is a normalized ALFF that effectively reduces the effects of physiological noise and increases the sensitivity and specificity of detecting spontaneous brain activity [6], and has been widely used in studies of SCZ patients [9,10]. Nevertheless, the results of fALFF studies on SCZ are inconsistent. Many studies have observed areas of decreased [5,11] and increased [7,12] fALFF in SCZ patients relative to healthy controls, while others have only found decreased or increased fALFF [13]. Moreover, the brain regions identified as affected in these studies were diverse. Sometimes, different studies reported increases or decreases in fALFF in the same brain region, such as the superior temporal gyrus [9,12]. However, the results of previous studies on fALFF in SCZ patients with AVHs have also been inconsistent. For instance, Alonso-Solís et al. [14] found higher fALFF values in the putamen and insular cortex and lower fALFF values in the frontal pole in patients in the AVHs group compared to the non-AVHs and HC groups. While Chen et al. [10] only found increased fALFF in the bilateral putamen of patients with AVHs.
Therefore, in order to investigate the pathophysiological mechanisms of AVHs, the aim of this study was to analyze the differences in fALFF values between SCZ patients with persistent AVHs and those without AVHs and healthy controls. Based on the results of previous studies, we hypothesized that SCZ patients with persistent AVHs would have greater changes in fALFF values compared to patients without AVHs and healthy controls, and that these changes in fALFF values might be related to the severity of AVHs.
A total of 139 patients with SCZ were included in this study, including 79 SCZ patients with persistent AVHs (AVH group) and 60 SCZ patients without AVHs (non-AVH group). Meanwhile, 83 age- and gender-matched healthy controls (HC group) were recruited through community advertising. All patients were diagnosed with SCZ by two psychiatrists according to the Diagnostic and Statistical Manual of Mental Disorders, Fifth Edition (DSM-5), as assessed by Structured Clinical Interview for DSM-5. Inclusion criteria: (1) Han Chinese; (2) age 18 to 45 years; (3) right-handedness; (4) normal intelligence; (5) with no history of substance abuse; (6) with no history of major physical illness or head trauma; (7) with no contraindications to MRI scanning. All SCZ patients in this study met the diagnostic criteria for treatment-resistant SCZ. That is, treatment-resistant SCZ was defined as a lack of response to a full course (4–6 weeks) of treatment with 2 or more antipsychotic medications in the past 5 years (400–600 mg/day chlorpromazine (CPZ) equivalent dose). In addition, we required that SCZ patients without AVHs had never experienced AVHs throughout the duration of their illness.
The study was approved by the Ethics Committee of Xiangya Second Hospital, Central South University (HT201906, 2019 June 03) and conducted in accordance with the Declaration of Helsinki. Written informed consent was provided by all participants after all subjects were fully informed of the study details (including benefits and potential risks, etc.). All subjects in this study had the right to voluntarily withdraw from the study at any time on their own.
General Socio-Demographic InformationA self-designed demographic information questionnaire including entries on age, gender, education, smoking, drinking, left and right handedness, age of onset, duration of illness, and antipsychotic medication use were used to collect basic demographic information from all participants in this study. The use of antipsychotic medication was recorded in detail for both patient groups. The antipsychotic medication taken by the patients in the last year was converted to CPZ equivalent dose. All patients enrolled were stable for at least the last six months.
Assessment of Clinical SymptomsThe Positive and Negative Syndrome Scale (PANSS) scale was used to assess the severity of patientsʼ psychiatric symptoms; the P3 item of the PANSS scale (P3), the hallucination item, was used to assess the severity of AVHs. The PANSS scale consists of three dimensions: PANSS-positive symptom (PANSS-P), PANSS-negative symptom (PANSS-N) and PANSS-general psychopathological symptom (PANSS-G). The sum of these three dimensions is the PANSS scale total score (PANSS-T). On the basis of the P3 item score the patients were divided into the AVH group (P3 ≥ 4) and the non-AVH group (P3 = 1).
MRI Data AcquisitionAll MRI data acquisitions were obtained within 24 h of subject enrollment. All subjects were scanned using a Siemens Magnetom Trio 3.0 T MRI scanner (Siemens, Erlangen, Germany) with a 16-channel head coil. Patients are asked to remain awake and still with their eyes closed during the scan, while foam pads are used to immobilize the patient's head and headphones are worn to dampen machine noise. The parameters of the 3D T1-weighted image scan were: repetition time (TR) = 2530 ms, echo time (TE) = 2.33 ms, field of view = 256 × 256 mm, flip angle = 7°, slice thickness = 1 mm, slice number = 192, voxel size = 1 mm3. The resting image acquisition parameters were as follows: TR = 2000 ms, TE = 30 ms, number of slices = 36, flip angle = 90°, slice thickness = 3 mm, field of view = 256 × 256 mm, voxel size = 3.4 × 3.4 × 3.4 mm3.
Pre-Processing and Quality Checking of MRI DataThe fMRI data were pre-processed using DPARSF and the fALFF values were calculated using SPM 12, all running on MATLAB R2013b [15]. The main steps include: removal of the first ten time points to exclude the effects of magnetic field instability. The remaining fMRI images were slice timing corrected, head‐motion corrected, normalized to the Montreal Neurological Institute (MNI) stereotactic space, and then resampled to an isotropic voxel size of 3 mm. Subjects with head motion >2 mm of maximal translation (in any direction of x, y, or z) or 2° of maximal rotation throughout the course of scanning were excluded from further analysis. Next, spatial smoothing with a 6mm full-width half-maximum Gaussian kernel and detrending were used to reduce spatial noise and the difference of anatomical structures. Finally, Friston 24 motion parameters, cerebrospinal fluid (CSF), global mean signal, and white matter signals were selected as nuisance covariates to reduce the effects of head motion and nuisance signals.
Calculation of fALFFIn order to calculate voxel wise ALFF maps, the preprocessed time series was transformed to a frequency domain with a fast Fourier transform (FFT) and the power spectrum was then obtained. For fALFF measurement, the sum of the amplitude values in the 0.01 to 0.08 Hz low-frequency power range was divided by the sum of the amplitudes over the entire detectable power spectrum (range: 0–0.25 Hz) [6,16,17]. In addition, as diffenrent frequency bands may reflect different physiological mechanisms, ample studies have divided ALFF as slow-5 (0.01–0.027) and slow-4 (0.027–0.073Hz) at more refined neural oscillation frequencies to improve precision [13]. Hence, Group-level analyses were then conducted on voxelwise slow-5 or slow-4 fALFF maps. The images were bandpass filtered (0.01–0.08 Hz) to reduce low-frequency drift and high-frequency physiological noise [9,18,19].
Statistical AnalysisAll statistical analyses were performed using SPSS 26.0 (SPSS Inc., Chicago, IL, USA). The normality of each variable was tested using the Kolmogorov-Smirnov method prior to statistical analysis of the data. Comparisons of demographic and clinical data between groups were performed using the chi-square test, one-way analysis of variance (ANOVA) or the Mann-Whitney U test. When examining the between-group differences in fALFF values for subjects, the analysis was performed using SPM12 software running under Matlab R2013b. ACOVA was used for the three between-group differences in fALFF, with age, gender, education level, and head movement as covariates. For brain areas found to be significantly different in the above comparisons, independent samples t-tests with age, gender, education and head movement as covariates were used for post-hoc tests. Of note was the addition of CPZ-equivalent dose to the covariates when the AVH and non-AVH groups were compared. False Discovery Rate (FDR) correction was used in the ANOVA and multiple comparisons. Mean fALFF values were then extracted from brain regions with differences between groups to examine the relationship between clinical symptoms and fALFF values in the AVHs group using partial correlation analysis, with age, gender and education level as covariates. Bonferroni was used for correction and p < 0.05 (number of statistically significant brain areas × number of clinical symptom items) was considered statistically significant. The threshold of statistical significance was set at p < 0.05 (two-tailed).
Among all included subjects, subjects with the following conditions were excluded: 9 SCZ patients with persistent AVHs, 11 SCZ patients without AVHs, and 13 HCs with excessive head movements; 2 SCZ patients with persistent AVHs, 8 SCZ patients without AVHs and 9 HCs with poor alignment and poor cephalometric quality; 4 SCZ patients with persistent AVHs, 2 SCZ patients without AVHs, and 1 HC who did not complete a resting-state MRI sequence scan. Therefore, the ultimately subjects enrolled in the analysis included 64 SCZ patients with persistent AVHs, 39 SCZ patients without AVHs, and 60 HCs.
General Demographic Information and Clinical CharacteristicsTable 1 shows the general demographics and clinical characteristics of the subjects in the three group. There were no significant differences among the three groups of subjects in terms of age, gender, smoking status and drinking status (all p > 0.05). The education level was significantly lower in the AVH group than in the HC group (p < 0.001), while there was no difference in education level between the non-AVH group and the other two groups (all p > 0.05). There was a difference in age at onset between the AVH and non-AVH groups (p = 0.005), while there was no significant difference in duration of illness or equivalent dose of CPZ. In terms of clinical symptoms, the P3 score (p < 0.001), positive symptom score (p < 0.001), and total PANSS score (p = 0.02) were higher in the AVH group than in the non-AVH group, while there was no difference in the negative symptom score and general psychiatric symptom score (all p > 0.05).
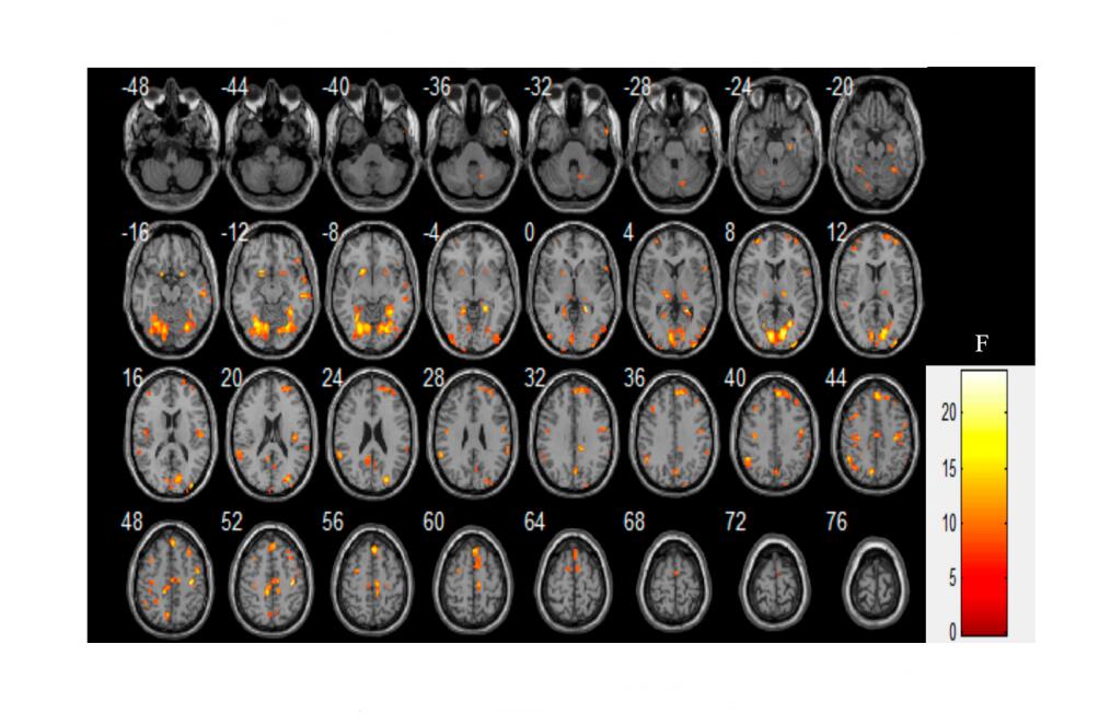
Group Differences in fALFFThree groups of subjects were analysed for fALFF values using analysis of covariance (ANCOVA) with age, gender, education level, and head movement as covariates. The results showed that seven brain clumps were statistically significant (FDR corrected, p < 0.05) and the mask signals of these seven significant brain regions were then extracted for subsequent multiple comparison analysis. See Table 2 and Figure 1 for details.
Multiple comparisons showed that the AVH group had lower fALFF values in the right lingual gyrus, right postcentral, and left supplementary motor area (SMA) than the HC group, while higher fALFF values in the right medial superior frontal, left inferior parietal lobule, left precuneus, and right supramarginal than the HC group, as detailed in Table 3 and Figure 2; the non-AVH group had lower fALFF values in the left lingual gyrus, right postcentral, and left SMA than the HC group, while higher fALFF values in the right medial superior frontal than the HC group, as detailed in Table 4 and Figure 3. However, there were no significant differences in fALFF values between patients in the AVH and non-AVH groups.
Figure 2. Comparison of fALFF in subjects in the AVH and HC groups. The AVH group had lower fALFF values in the right lingual gyrus, right postcentral, and left supplementary motor area (SMA) than the HC group, while higher fALFF values in the right medial superior frontal, left inferior parietal lobule, left precuneus, and right supramarginal than the HC group.
The correlation results showed that after Bonferroni correction (p < 0.05/7 = 0.007), no significant correlation was found between fALFF values and P3 score in AVHs group of SCZ patients. The specific results were as follows: right medial superior frontal (r = −0.12, p = 0.37), left inferior parietal lobule (r = 0.29, p = 0.22), right lingual gyrus (r = −0.12, p = 0.37), right postcentral (r = 0.06, p = 0.67), left precuneus (r = 0.22, p = 0.10), left supplementary motor area (r = −0.02, p = 0.90), right supramarginal (r = 0.31, p = 0.02). In addition, the results of the association between fALFF values and PANSS score in the corresponding brain regions of schizophrenia patients were as follows: right medial superior frontal (r = −0.17, p = 0.10), left inferior parietal lobule (r = 0.02, p = 0.85), right lingual gyrus (r = 0.03, p = 0.79), right postcentral (r = 0.20, p = 0.04), left precuneus (r = 0.12, p = 0.25), left supplementary motor area (r = 0.16, p = 0.12), right supramarginal (r = 0.05, p = 0.63). None of the results survived Bonferroni correction (p < 0.05/7 = 0.007).
In this study, we investigated the characteristics of changes in fALFF values in SCZ patients with AVHs, SCZ patients without AVHs and HC, and explored the relationship between fALFF values and clinical symptoms of SCZ patients in the AVH group. The main findings of this study were as follows: (1) the AVH and non-AVH groups had lower fALFF values in the lingual gyrus, right postcentral, and left SMA than the HC group; (2) both the AVH and non-AVH groups had higher fALFF values in the right medial superior frontal than the HC group; (3) only the AVH group had higher fALFF values in the left inferior parietal lobule, left precuneus and right supramarginal than the HC group; (4) there were no significant differences in fALFF values between the AVH and non-AVH groups.
In this study, fALFF values in the AVH and non-AVH groups were found to be lower in the lingual gyrus, right postcentral, and left SMA than in the HC group. These results are consistent with those of previous studies. The postcentral is located in the parietal lobe and belongs to the primary somatosensory-motor cortex. Reduced fALFF was observed in SCZ patients in many brain areas in the sensory and motor cortex. For example, Gao et al. [20] found decreased fALFF values in the bilateral SMA, bilateral postcentral gyrus, bilateral paracentral lobules, bilateral precuneus, left precentral gyrus, and left superior parietal lobule among SCZ patients compared to HC. This is consistent with deficits in early-stage visual, auditory, and sensory processing functions [21–24] and deficits in motor control [25,26] in the SCZ.
The lingual gyrus is located in the occipital lobe and is primarily associated with vision. Abnormalities in the function of the lingual gyrus have been reported in patients with SCZ. For instance, Hopeman et al. [7] found that the HC group had higher fALFF values in the left cuneus and insula, right lingual gyrus and right caudate than the SCZ patients. In the present study, we found that both groups of patients shared alterations in local spontaneous neural activity in the cortices involved in somatosensory, and visual processing-related cortices.
The SMA is located mainly on the medial side of the cerebral hemispheres. Previous studies have suggested that SMA is associated with AVHs in SCZ patients and that SMA may be involved in speech monitoring by modulating the activity of perceptual brain areas in AVHs during speech production [27]. When this regulatory mechanism is impaired, for example by disrupting the timing of activation between SMA and auditory brain areas, auditory perceptual brain areas may process covert speech as if it were coming from outside, leading to the experience of producing AVHs [28]. Also, previous fMRI studies found reduced SMA activation in SCZ patients compared to HC [20]. This is similar to the results of the current study, namely the reduced fALFF values of the SMA in the patient group compared to the HC group, suggesting that the reduced spontaneous neural activity of the SMA in patients may be strongly related to the SCZ.
Both the AVH and non-AVH groups had higher fALFF values in the right medial superior frontal than the HC group. Prefrontal cortical function in SCZ patients has been extensively studied. When we consider the function of the prefrontal cortex, we must consider the function of the medial prefrontal cortex (mPFC). mPFC acts as a control panel, integrating information from numerous input structures and aggregating updated information to output structures through connections with other cortical and subcortical areas [29]. It plays an important role in many brain functions in SCZ patients, including cognitive processes, emotion regulation, motivation and social skills [30–32]. However, in previous studies, there have been mixed results on frontal function in the SCZ. It has been suggested that the SCZ is associated with low frontal function, which refers to the failure to activate the frontal system during cognitive activities associated with the prefrontal cortex. However, recent task state fMRI studies have found enhanced prefrontal activity in patients with SCZ [33,34]. This controversy may be due to different methods of analysis, heterogeneity in the clinical phenotype of SCZ, and differences in the scanning parameters of MRI [34]. An alternative explanation could be neural efficiency [35,36]: impaired cognitive control in patients could correspond to reduced activity in relevant prefrontal areas during rest. At the same time, impaired cognitive control might result in an enhanced need of neural resources (i.e., higher activity) during task states, meaning neural efficiency in healthy controls who can perform the same task with fewer resources (i.e., lower activity).
Notably, this study found higher fALFF values in the left inferior parietal lobule, left precuneus, and right supramarginal in the AVH group only than in the HC group, while no such differences were found in the non-AVH group. Inferior parietal lobule is composed of the supramarginal gyrus and the adjacent angular gyrus. Previous studies have found that the inferior parietal lobule (IPL) is activated both when receiving new auditory stimuli and in the presence of AVHs [37,38], which is consistent with our findings. Because the superior temporal gyrus is adjacent to the supramarginal and angular gyri, and most findings suggest that AVHs are associated with superior temporal gyrus dysfunction [39]. It is therefore reasonable to infer that pathological changes in any one of these brain regions may involve other brain regions in close proximity. Furthermore, studies have suggested that the supramarginal gyrus is capable of receiving input of auditory information [38] and that the supramarginal gyrus is involved in auditory processing together with the auditory cortex, providing further evidence for abnormal supramarginal gyrus function in patients with AVHs.
It is highlighted that in this study, the AVH group had higher fALFF values in the left precuneus than the HC group, contrary to the results of some previous studies where SCZ patients had lower ALFF/fALFF values in the precuneus compared to the HC group [7,12,40]. This inconsistent result depends to a large extent on the subject heterogeneity involved. However, there are also some findings that are consistent with our findings. For example, Guo et al. found that the first-episode and drug-naïve SCZ patient group and their patient sibling group exhibited increased fALFF values in the left posterior cingulate cortex/precuneus compared to the HC group [41]. The precuneus is a node of the default mode network (DMN), a brain region considered to be an internal speech monitoring brain region, associated with language processing [42]. There is growing evidence that the DMN plays a key role in memory extraction, cognitive processes and self-referential processing, and is involved in monitoring internal language processing [43]. The pathogenesis of AVHs may be related to dysfunction in internal speech monitoring brain regions [30,44].
Finally, it is important to highlight that the present study did not find any significant differences in direct comparisons of fALFF between the AVH and non-AVH groups, but symptom-capture data in particular were found in previous studies to show spontaneous activity associated with AVH [45,46]. Possible reasons for these conflicting results include subject heterogeneity (e.g., first-episode, chronic phase), sample size differences, and methodological differences such as differences in the tools used (positron emission tomography (PET), single photon emission computed tomography (SPECT), fMRI,), differences in clinical assessment scales, diagnostic criteria for AVH, antipsychotic medication, etc.
There are a number of limitations to this study that need to be addressed. Firstly, this is a cross-sectional study, which requires follow-up of the trend and prognosis of symptoms of AVHs over the course of the disease in SCZ patients with persistent AVHs, and the relationship with local spontaneous neural activity in the brain. Secondly, all patients were taking antipsychotic medication during the study period, which makes it difficult to absolutely exclude the effect of antipsychotic medication on local spontaneous neural activity in the patient's brain. In future work, the relationship between changes in localized spontaneous neural activity and phantom hearing in first-episode and drug-naïve SCZ patients’ needs to be further explored.
In conclusion, we found that the AVH and non-AVH groups had lower fALFF values in the lingual gyrus, right postcentral, and left SMA than the HC group, and higher fALFF values in the right medial superior frontal than the HC group. However, only the AVH group had higher fALFF values in the left inferior parietal lobule, left precuneus, and right supramarginal than the HC group. In addition, there was no significant difference in fALFF values between the AVH and non-AVH groups. These results suggest that local spontaneous neural activity was significantly impaired in the brains of patients in the AVH and non-AVH groups compared to those in HC, and that altering spontaneous neural activity in these brain regions may be of value in the treatment of SCZ.
The data that support the findings of this study are available from the corresponding author, XC or JT, upon reasonable request.
The Ethics Committee of the Second Xiangya Hospital, Central South University (No. S006, 2018) approved this study, which was conducted in accord with the Declaration of Helsinki. Participants were duly informed of study details, including benefits and potential risks. Written informed consent was obtained.
JT and XC were responsible for the design and direction of the study. HR, JL, JH, LD, MD, and JZ were responsible for data collection. HR and QW were responsible for the analysis and interpretation of the data. Drafting of the manuscript was done by QW. JT, XC, YH, LG, and ZL were responsible for critical revision of the article for important content. All co-authors revised the final version and approved it for publication.
The authors declare that they have no competing interests.
This research was supported by National key R & D plan of China (No. 2022YFE0103700 to JT), National Natural Science Foundation of China (No. 82171495 and No. 81871057 to JT, No.81871056 to XC), Hunan Provincial Innovation Foundation for Postgraduate (CX20220341 to QW), and Fundamental Research Founds for the Central Universities of Central South University (2022ZZTS0259 to QW).
We want to sincerely thank everyone who contributed to this endeavor.
1.
2.
3.
4.
5.
6.
7.
8.
9.
10.
11.
12.
13.
14.
15.
16.
17.
18.
19.
20.
21.
22.
23.
24.
25.
26.
27.
28.
29.
30.
31.
32.
33.
34.
35.
36.
37.
38.
39.
40.
41.
42.
43.
44.
45.
46.
Wang Q, Ren H, Li Z, Li J, Dai L, Dong M, et al. A Study of Fractional Amplitude of Low Frequency Fluctuation in Schizophrenia Patients with Persistent Verbal Auditory Hallucinations. J Psychiatry Brain Sci. 2022;7:e220014. https://doi.org/10.20900/jpbs.20220014

Copyright © 2022 Hapres Co., Ltd. Privacy Policy | Terms and Conditions