Location: Home >> Detail
TOTAL VIEWS
Immunometabolism. 2021;3(1):e210003. https://doi.org/10.20900/immunometab20210003
1 PolyBio Research Foundation, Kenmore, WA 98028, USA
2 Division of Neurotherapeutics, Massachusetts General Hospital, Harvard Medical School, Boston, MA 02129, USA
* Correspondence: Michael B. VanElzakker.
The Warburg effect refers to a metabolic state in which cells preferentially use aerobic glycolysis rather than oxidative phosphorylation to generate ATP and macromolecules. A number of chronic inflammatory conditions are characterized by host cells that adopt a sustained, pathological Warburg-like metabolism. In cancer, previously healthy cells shift into a Warburg state centered on rapid energy production and increased cell proliferation that drives tumor formation. Macrophage in atherosclerotic plaque and in sarcoidosis granuloma can also harbor a Warburg-like phenotype that promotes an inflammatory milieu. The question of why host cells in patients with cancer and other chronic inflammatory conditions adapt a pathological Warburg-like metabolism is a matter of debate. This review/hypothesis piece explores how intracellular infection can contribute to this Warburg metabolism or related pathological metabolic states. We detail molecular mechanisms by which viral, bacterial, and protozoan intracellular pathogens can induce, or contribute to, a Warburg-like metabolism in infected host cells in order to meet their own replication and nutritional needs. We also discuss how host defense towards infection may impact cellular metabolic changes. We then provide examples of how many of these same intracellular pathogens have been identified in tumors, atherosclerotic lesions, granuloma, and other tissues containing cells with a Warburg or altered metabolism. Last, we examine further trends associated with infection and host cell metabolism, including how pathogen-driven hijacking of host cell lipid metabolism can support viral, bacterial, and parasite survival and replication.
A central focus of immunometabolism research relates the metabolic signaling changes of cells to their function. Nearly all mammalian cells adapt their metabolism to transition from quiescent states to activated states that allow for more rapid energy production and changes in cellular capacity [1–3]. A primary example of this phenomenon is known as the Warburg effect. The Warburg effect refers to a metabolic shift in which cells move towards preferentially using aerobic glycolysis rather than oxidative phosphorylation (OXPHOS) to generate ATP and macromolecules [1,4]. More specifically, under normal resting conditions, most cells begin the process of generating energy by metabolizing glucose to pyruvate. Pyruvate is then shuttled into the mitochondria where it is oxidized by the tricarboxylic acid (TCA) cycle to generate ATP via the electron transport chain. This process is called oxidative phosphorylation and can generate up to 36 ATP per molecule of glucose [2]. Cells that enter a classic Warburg effect metabolism shift from using OXPHOS for ATP production to an alternate form of energy production called aerobic glycolysis [5]. During aerobic glycolysis, cells still convert glucose directly to pyruvate but pyruvate is subsequently fermented to lactate in the cell cytoplasm, even in the presence of adequate oxygen. Under such conditions, only 2 molecules of ATP are generated per molecule of glucose.
Once cytoplasmic lactate is formed, it must be excreted from the cell to prevent toxicity via acidosis. A classic Warburg metabolism is therefore characterized by increased cellular glucose uptake and increased cellular lactate output [6]. Compared to the complete oxidation of glucose in the mitochondria, cells with a Warburg metabolism generate much less ATP over time. However, the rate of glucose metabolism accomplished by production of lactate from glucose during aerobic glycolysis is 10–100 times faster [4]. The Warburg effect therefore allows for rapid periods of energy production that can fuel a wide range of biological process, including macromolecular synthesis. For example, rapid ATP production fueled by increased glycolysis can produce metabolites that fuel the pentose phosphate pathway (PPP) and fatty acid synthesis [7]. This leads to the production of amino acids and fatty acids that support numerous cellular activities such as cell growth and division.
The ability to shift in and out of glycolysis and/or a Warburg-like metabolism occurs in response to the energetic demands and physiological nutritional needs of differentiated organs and tissues [8]. It also underlies the functioning of most healthy mammalian immune cells, allowing them to respond to infection and other environmental insults. For example, myeloid cells primarily use glycolysis as a source of ATP [9]. These include neutrophils—short-lived granulocytes whose primary function is to rapidly enter sites of infection to initiate microbial killing [10]. B cells shift towards a Warburg-like metabolism to activate antigen receptor signaling. Subsets of effector T-cells switch to a Warburg-like state upon activation by antigen presenting cells. Further examples of Warburg-dependent immune cell processes include Th17 polarization by activated T-cells, IL-1β production by macrophages, and cytokine receptor activation of macrophages [10–12].
However, a number of chronic inflammatory disease states are characterized by host cells in a sustained Warburg-like state that can become pathological in nature. A primary example is the Warburg effect in cancer. In cancer, previously healthy cells shift into a Warburg state centered on rapid energy production and increased proliferation that drives the formation of tumors [4,6,13]. A similar pathological Warburg-like metabolism has also been documented in chronic conditions beyond cancer including atherosclerosis and sarcoidosis [1,14]. In atherosclerosis, macrophage and endothelial cells in arterial plaque often display increased glycolysis and an inflammatory phenotype [15]. In sarcoidosis, alveolar macrophage and monocytes in granuloma can harbor a sustained Warburg-like metabolism that contributes disease progression [14,16].
More recent research on the Warburg effect also indicates that while cells in a Warburg state trend towards using aerobic glycolysis in the cytoplasm to rapidly generate ATP, OXPHOS metabolism involving the tricarboxylic acid cycle (TCA) may still occur to some extent in the mitochondria [2,17]. For example, in human lung cancer, Hensley et al. found that intraoperative infusions with [13C]glucose resulted in abundant labeling of tumor metabolites derived from both glycolysis and the TCA cycle [18]. Under such conditions, impacted cells can also divert intermediates from the TCA cycle towards the synthesis of nucleotides, lipids, fatty acids, and proteins. For the purposes of this paper, a “Warburg-like effect” will be used to refer to a spectrum of cellular metabolic states that prioritize aerobic glycolysis for ATP generation and macromolecular synthesis but do not exclude the additional production of certain OXPHOS-derived intermediates.
The question of why host cells in patients with cancer and related chronic inflammatory conditions adapt a pathological Warburg-like metabolism is a matter of debate. Many review articles on the Warburg effect in cancer and atherosclerosis assume that impacted host cells proliferate in a sterile atmosphere [17,19]. However, the human body is increasingly understood to harbor a tremendous number of bacteria, viruses, fungi and archea in tissue and blood, especially under conditions of disease [20–22]. For example, Kowarsky et al. used cell-free DNA sequencing to identify over 3000 previously unidentified viruses, bacteria, and fungi in human blood samples obtained from immunocompromised patients [23]. The team concluded that the newly discovered microbes and viruses “may prove to be the cause of acute or chronic diseases that, to date, have unknown etiology”. Organisms like those identified by Kowarsky et al. often persist in polymicrobial communities that harbor a range of pathobionts capable of changing their gene expression towards pathogenicity and intracellular persistence under conditions of imbalance and immunosuppression [24,25].
Some research teams have already implicated pathogens such as Epstein Barr Virus as drivers of oncogenic metabolism in cancer [26,27], with recent advances in next generation sequencing and transcriptome technologies clarifying the frequent presence of these and other intracellular pathogens in many tumors types [28,29]. A range of intracellular pathogens have also been identified in atherosclerotic lesions [30,31], and granuloma containing cells with a Warburg-like metabolism [32,33]. It follows that intracellular infection may contribute to the Warburg effect in these disease states. Indeed, many in vitro studies, and a growing number of in vivo studies, show that most well-studied human viral, bacterial, and protozoan intracellular pathogens are capable of inducing a Warburg-like or altered metabolic state upon infecting a range of cell types [2,27]. These pathogens hijack host cell metabolism in order to redirect glycolysis and mitochondrial TCA cycle intermediates towards the biosynthesis of lipid droplets, fatty acids, amino acids and nucleotides required for their own nutritional and survival needs.
This review/hypothesis piece connects these related research findings to explore how intracellular infection may contribute to a pathological Warburg effect or related pathological metabolic states in a range of chronic inflammatory conditions. First, we examine the molecular mechanisms by which a broad spectrum of persistent intracellular pathogens can induce or contribute to a Warburg-like metabolism in host cells. Then, we provide examples of how many such pathogens have been identified in human tumors and other tissues containing cells in a Warburg-like or altered metabolic state. Last, we examine further trends associated with infection and host cell metabolism, including how pathogen-driven hijacking of host cell lipid metabolism can support viral, bacterial, and parasite survival and replication.
Increased cellular glucose uptake and increased cellular lactate secretion characteristic of a Warburg-like state are metabolic hallmarks of host cells in a range of chronic inflammatory conditions. These include cells comprising solid tumors across many cancers [34]. In fact, a Warburg metabolism is often utilized to identify cancerous tissue using 18Fluorodeoxyglucose positron emission tomography (FDG-PET)—an imaging method that measures increased tumor uptake of the glucose analogue FDG [35]. Activated macrophage involved in the development of atherosclerotic plaque accumulation in patients with coronary artery disease can also harbor a Warburg-like metabolism [36]. As with cancer, increased glycolysis in atherosclerotic plaque can be visualized by FDG-PET [37]. Sarcoidosis is a chronic disease that leads to inflammation in multiple organs, but mainly the lungs. The primary feature of sarcoidosis is the formation of tumor-like pathological structures called granuloma that can contain immune cells with a Warburg-like metabolism [38]. In sarcoidosis, increased glucose uptake in granuloma can also be imaged in living patients via FDG-PET scanning of host lungs or other impacted body sites [39].
A central signaling pathway increasingly tied to conditions with a Warburg-like phenotype is the Ras-ERK-PI3K-mTOR axis, which plays an important role in regulating the cell cycle [40]. The Ras-ERK-PI3K-mTOR axis, and mTORC1 specifically, have been shown to promote the production of the key glycolytic regulator and transcription factor hypoxia-inducible factor (HIF-1), irrespective of oxygen concentrations. The HIF-1 alpha subunit (HIF-1α) plays a central role in the shift to glycolysis by coordinating the commitment of pyruvate to acetyl-CoA or to lactate. [41–43]. Stabilization of HIF-1α reduces reliance on OXPHOS by initiating glycolytic metabolism along with the expression of key glycolytic proteins hexokinase II (HK-II), 6-phosphofructo-2-kinase, and GLUT1 [36]. Thus, HIF-1α is central to the establishment of a Warburg-like state. Dysregulation of mTORC1 signaling and/or elevated levels of HIF-1 have been tied to the development of cancer [44,45], atherosclerosis [46], and sarcoidosis [47]. For example, activation of mTORC in sarcoidosis macrophages has been shown to drive their hypertrophy and proliferation, resulting in excessive granuloma formation [46].
While not always Warburg in nature, a number of neurological conditions are also associated with changes in brain metabolism. For example, abnormal glycolysis leading to elevated lactate concentrations has been documented in schizophrenia. Rowland et al. used 7 Tesla proton (1H)-MRS to measure brain lactate levels in living schizophrenia patients [48]. Lactate was significantly higher in schizophrenia subjects compared to controls. Higher lactate was also associated with increased psychiatric symptom severity, leading the team to suggest that “altered cerebral bioenergetics contribute to cognitive and functional impairments in schizophrenia”. Alzheimer’s disease is characterized by a progressive cerebral hypometabolic state associated with mitochondrial dysfunction and neuron loss [49]. Contrary to a classic Warburg metabolism, this altered metabolic state leads to decreased cerebral glucose uptake as imaged by FDG-PET in patients with the condition.
A number of hypotheses have been generated to explain why host cells in cancer, atherosclerosis and related conditions adapt a pathological Warburg-like metabolism. These include the potential accumulation and selection for somatic mutations tied to metabolic enzyme function, or changes in the epigenetic environment that might impact host cell metabolism [19]. However, an underexplored factor that can contribute to the altered metabolic state in chronic inflammatory disease is intracellular infection. Many intracellular pathogens have evolved to either hijack the Warburg metabolism of activated host cells to their own advantage, or to infect and “push’” host cells into a state of increased glycolysis when the host cell would otherwise use the complete OXPHOS for energy production [2,27,50] (Figure 1).
For example, Shi et al. characterized murine lung tissue infected with Mycobacterium tuberculosis (M.tb) by transcriptomic profiling and confocal imaging [51]. They identified a Warburg-like shift in host energy metabolism over time, including upregulation of multiple glycolytic enzymes and glucose uptake transporters, and downregulation of enzymes participating in OXPHOS and the TCA cycle. Immunofluorescence microscopy of M.tb-associated granulomatous lesions also showed increased expression of key glycolytic enzymes and HIF-1α mRNA and protein expression in T cells and macrophages. In human primary leukocytes, Oosting et al. found that Borrelia burgdorferi induced a shift toward a Warburg-like metabolism, mediated by the mTOR/HIF-1α pathway, with induction of glycolysis essential for Borrelia burgdorferi-induced production of IL-22 and other cytokines [52].
Fontaine et al. infected primary human cells with Dengue virus (DENV) and reported significant global intracellular metabolic changes [53]. These included a significant increase in glucose uptake in infected cells, along with upregulation of HK2 and GLUT1 expression. Pharmacological inhibition of the glycolytic pathway significantly reduced DENV RNA synthesis and infectious virion production, suggesting glycolysis is required for successful DENV replication.
Figure 1. Warburg-like metabolic programs activated upon infection of primary human cells with Mycobacterium tuberculosis. Anabolic pathways require an energy input to construct macromolecules such as lipids, nucleic acids, and proteins. Catabolic pathways break down molecules that are oxidized to release energy or for use in anabolic reactions. Reproduced from [2], copyright © 2018 John Wiley and Sons.
Other pathogens documented to reprogram cellular metabolism in a Warburg-like fashion either in vitro, in vivo, or in both settings include Legionella pneumophila [54], Brucella abortus [55], Helicobacter pylori (H. pylori) [56], Chlamydia trachomatis [57], Chlamydia pneumoniae (C. pneumoniae) [58], Kaposi Sarcoma-associated Herpesvirus (KSHV) [59], Rous Sarcoma Virus [60], Epstein-Barr virus (EBV) [26], Adenovirus [61], Cytomegalovirus (CMV), Human Immunodeficiency vírus (HIV) [62,63], Hepatitis B virus (HBV) [64], Hepatitis C virus (HCV), and Feline Leukemia virus [65] among others [2,27,66,67].
Certain pathogens induce a Warburg-like state in infected host cells by creating proteins or metabolites that exploit host cell machinery and gene expression. For example, in cultured epithelial cells, Thai et al. found that adenovirus E4ORF1 creates a protein (E4ORF1) which induces upregulation of host cell glucose metabolism to promote enhanced glycolysis via activation of the gene MYC [68]. This results in elevated expression of specific glycolytic enzymes and promotes increased nucleotide biosynthesis from glucose intermediates that facilitates optimal viral replication.
Intracellular pathogens reprogram host central carbon metabolism in a Warburg-like fashion to increase the supply of energy, nutrients, and metabolites required for their survival and proliferation [50,69]. Viruses are obligate intracellular parasites that require the induction of a Warburg-like/altered metabolic state in host cells to successfully replicate and complete their lifecycles [27,66]. They rely entirely on the metabolic capacity of host cells to provide raw materials used in the synthesis of the nucleic acids and fatty acids required for virion assembly, viral membrane formation, and viral nucleic acid replication [69]. For enveloped viruses, the use of host cell glycolytic or TCA intermediates in the synthesis of lipid is especially important in providing additional membrane material for envelopment of viral particles or the creation of cytoplasmic replication complexes [69]. Induction of a Warburg-like state in host cells by viruses can also provide ATP in a rapid fashion for the high-energy cost of increased nucleic acid (genome) replication and viral particle (virion) packaging that facilitates viral spread from cell to cell.
Intracellular bacteria also have enormous biosynthetic requirements for successful persistence and proliferation [50]. While certain bacterial pathogens have their own macromolecular biosynthesis machinery, most rely, to various degrees, on carbon substrates produced by host glycolysis (and in some cases the TCA cycle) to create nucleotides, fatty acids, and amino acids for nutrition and replication purposes [2]. This is especially true of obligate intracellular bacteria that have lost the genetic information for various catabolic and many anabolic pathways, and can only proliferate and replicate in suitable host cells [50]. For example, Warburg-inducing pathogen Chlamydia trachomatis has undergone genome reduction and lacks several biosynthetic pathways [70]. Thus, to successfully replicate, Chlamydia trachomatis must obtain the energy and nutrients it requires for growth from infected host cells. Indeed, inducing a Warburg-like state in host cells allows obligate intracellular bacteria to fulfill so many biosynthetic and nutritional needs that glycolysis appears to be the preferred host metabolism for such pathogens [2].
Certain mammalian cells have also been shown to enter a Warburg-like state after exposure to bacterial products or whole bacterial lysates [71]. For example, Tannahill et al. found that mouse macrophages exposed to bacterial LPS reprogramed their metabolism from OXPHOS to glycolysis and rewired TCA cycle intermediates such as succinate and citrate to biosynthetic pathways [72].
A Warburg-like reprogramming of host cell metabolism by intracellular viruses and/or bacteria is often pathogen-specific, with pathogens studied to-date inducing specific metabolic programs tied to their unique metabolic needs [2,66,73] (Figure 2). For example, Escoli et al. found that infection of macrophages with L. pneumophila initially increased both OXPHOS and glycolysis, but a subsequent T4SS-dependent disruption of the mitochondrial network later led to a reduction in OXPHOS activity [54]. The exact nature of a pathogen-induced Warburg-like state can vary even within the same family of viruses and/or bacteria, or based on the type of host cell infected [66].
In some cases, lactate produced as a result of the Warburg effect/glycolysis is utilized by the infecting pathogen [2]. For example, infection of human macrophage-like cells with Brucella abortus results in a metabolic shift towards aerobic glycolysis and the increased production of lactate [55]. In vitro experiments show that Brucella abortus then uses lactic acid as its sole carbon and energy source, and requires the breakdown of lactate for survival in human macrophage-like cells. Gillis et al. recently showed that depletion of the short chain fatty acid butyrate in the gut microbiome causes Clostridia bacteria to induce a Warburg-like state in host gut epithelial cells [74]. The resulting increase in extracellular lactate can then be metabolized for nutrition by neighboring pathogens such as Salmonella typhimurium.
Some pathogens that induce a Warburg-like state also modulate host cell glutamine metabolism to create ATP and a range of substrates [66]. For example, adenovirus infection of human bronchial epithelial cells not only alters host cell glucose metabolism, but also increases glutaminase activity and glutamine consumption [68]. The virus then uses glutamine to generate hexosamine pathway intermediates such as amino acids. Similarly, vaccinia virus does not activate host cell glycolysis, but instead requires exogenous glutamine for efficient replication. Inhibition of glutamine metabolism effectively blocks vaccinia virus protein synthesis [75].
Figure 2. Infection by different viruses alters different metabolic pathways, as demonstrated by alterations in metabolite levels, flux, and tracing. HIV activity is referenced in [76–79]. @KSHV downregulates cholesterol synthesis but upregulates lipid synthesis; #Flavivirus family; *Herpesvirus family; &virus downregulates this metabolic activity. Reproduced from [32], an open access article distributed under the Creative Commons Attribution 4.0 International License (http://creativecommons.org/licenses/by/4.0/).
Once acquired, many Warburg-inducing pathogens persist with the host throughout life. Indeed, induction of a Warburg-like state is central to the ability of pathogens to persist in a manner that can drive a range of chronic symptoms [2,27]. For example, during latent infection of endothelial cells, KSHV was shown to induce aerobic glycolysis and lactic acid production while decreasing oxygen consumption. Glycolytic inhibitors selectively induced apoptosis in KHSV-infected cells, but not in uninfected control cells [59]. The virus also produces miRNAs secreted in exosomes that infiltrate and induce glycolysis in neighboring cells, supporting additional latent growth [80].
The metabolic requirements of acute and persistent intracellular pathogens differ to a certain extent. Acute pathogens often need to replicate more for rapid spread from cell to cell, whereas persistent pathogens frequently enter periods of decreased replication or latency. Generally speaking however, a perpetual Warburg-like state is energetically taxing on the host during both acute and chronic infection, since, in both cases, much less overall ATP is produced over time and many of the glycolytic/TCA intermediates in infected cells may be co-opted by the pathogen. A Warburg-like state may subsequently contribute to the fatigue or exhaustion experienced by patients with both chronic and acute illness. Because inducing a Warburg metabolism offers so many benefits to persistent pathogens, it is very likely that many intracellular pathogens not yet studied in concert with host metabolism also induce a Warburg-like state upon infection.
It is important to note that metabolic alterations in an infected cell may also result from the host immune response towards the infecting pathogen. Signals from the immune system regularly modify organelle function [7,81]. For example, Type I interferons are pleiotropic cytokines that play a role in the induction of host defense against viruses and bacteria [82]. However, Type I interferons have also been shown to remodel lysosome function in intestinal epithelial defense [83]. It follows that changes in lysosome activity in an infected cell may represent a mix of metabolic alterations driven by the pathogen and metabolic alterations driven by the host cell’s attempt to control the infection.
In fact, intracellular infection is such a common threat to host cell stability that host cell mitochondria have developed a range of innate immune defenses [84]. Components of mitochondria, when released in response to damage or pathogens, can be directly recognized by receptors of the innate immune system to trigger an immune response [85]. Mitochondria also generate antimicrobial metabolites [86] and mitochondrial dynamics play a central role in antiviral immunity [87]. This is evidence that mitochondria have evolved to combat metabolic hijacking by intracellular pathogens. For example, Toxoplasma can co-opt host lipid breakdown to gain access to fatty acids. However, host mitochondria can fuse around Toxoplasma-containing vacuoles to competitively acquire the same fatty acids, limiting the parasite’s ability to proliferate [88] (Figure 3).
Lipids are also increasingly understood to serve as co-directors of phagocytosis [89]. Lipids have been shown to be functionally active in signaling, targeting, and trafficking events in the course of phagosome generation and maturation [90]. For example, in M.tb-infected macrophages, certain lipids including arachidonic acid can activate actin assembly, phagosome-lysosome fusion, and phagosome maturation, resulting in bacteria killing [91]. This led Melo et al., in their excellent review on the phagocytic properties of lipids, to state that, “the enigmatic lipid body-phagosome interaction cannot be solely viewed as a pathogen strategy to prolong and sustain its own survival, but also might be a host strategy to destroy or, at least, to ‘try’ to kill the microbial invader” [90].
Certain persistent viruses have been shown capable of driving cancer progression. These include papillomaviruses, HBV, HCV, EBV (HHV4), CMV (HHV5), KHSV, and HHV8 [92–94]. These oncogenic viruses, and other viruses, are being identified in a growing range of cancers across an increasing number of body sites [95]. For example, as part of the Pan-Cancer Analysis of Whole Genomes Consortium, Zapatka et al. aggregated transcriptome and whole-genome sequencing data from 2,658 cancers and used three independent pathogen detection pipelines to identify viral sequences [28]. Twenty-three different viral genera were detected in 389 tumors across 356 cancer patients (13%) (Figure 4). Viruses such as EBV, CMV, HBV, Alphatorquevirus, Roseolavirus, Human Papilloma Virus (HPV) and others were identified in a range of tumor types often assumed to be sterile. For example, Human Herpes Virus 6 (HHV-6) was identified in liver, pancreas, head/neck, esophagus, lymphoid, CNS, breast, colorectal, kidney, prostate, lung, ovary, and thyroid tumors. Viral integration into the host genome was observed for HBV, HPV16, HPV18, and AAV2, and associated with a local increase in copy number variations. The analysis also revealed a novel association between mastadenovirus and several tumor entities. Most identified viruses were double-stranded DNA viruses and double-stranded DNA viruses with reverse transcriptase, possibly due to extraction protocols that were less likely to preserve single-stranded DNA or RNA viruses.
Figure 4. Viruses found in different cancer types with the fraction of virus-positive samples shown at the top. This figure depicts a consensus approach for sequencing-based viral discovery across 389 tumors from 356 patients with cancer. Top of figure depicts fraction of virus-positive tumor samples with viral hits. Grid numbers reflect number of viral hits for each cancer entity. (WGS: Blue, RNA Sequencing: gray). Adapted from [28], an open access article distributed under the Creative Commons Attribution 4.0 International License (http://creativecommons.org/licenses/by/4.0/).
Most of these persistent viruses can induce a Warburg-like state or altered metabolic state in tumors. For example, in infected human fibroblasts, CMV has been shown to increase glucose consumption and lactate production characteristic of a Warburg metabolism [96,97]. The virus can also promote increased glycolytic flux, likely by inducing PFK activation and increased expression of glycolytic enzymes [27,98]. Viral proteins created by HBV directly manipulate host cell glucose, lipid, nucleic acid, amino acid, vitamin, and bile acid metabolism [99]. Indeed, HBV has been shown capable of inducing hepatic injury in human hepatocytes via dysregulation of aerobic glycolysis and lipid metabolism in a manner consistent with a Warburg phenotype [64].
EBV can drive cancer cell proliferation by hijacking B cell mitochondrial pathways in a Warburg-like fashion. For example, Wang et al. infected resting primary human B cells with EBV, and used a global unbiased proteomic analysis to monitor their growth and metabolic transformation over time [26]. They found that shortly after EBV infection, the virus promoted oncogenesis by altering mitochondrial 1C metabolism, which normally supports rapid cell growth in embryonic development. Viral expression of EBV proteins, and not the host cell innate immune response, was required for induction of this mitochondrial 1C metabolism. For example, EBNA2 targeting of MYC supported 1C signaling by inducing aerobic glycolysis, serine import, and the de novo serine synthesis pathway. EBV infection additionally caused GLUT1 to re-localize to the plasma membrane, which further increased B cell glucose consumption, glycolytic flux, and the release of lactate. When the team cultured B cells in a media containing galactose rather than glucose, EBV-driven outgrowth was significantly impaired. This is evidence that glucose is a key carbon source in transformation of B cell metabolism by infecting virus.
EBV also expresses latent membrane protein 1 (LMP1), an oncoprotein that mimics host CD40 signaling to activate multiple growth pathways [100]. Promotion of B cell proliferation by LMP1 has been shown to coincide with an induction of aerobic glycolysis [101]. Other intracellular viruses also create proteins that modulate the central carbon metabolism of infected host cells via the inactivation or degradation of tumor suppressor genes such as p53 [50]. Viral proteins shown to impact p53 activity include HPV protein E6 [102] and mouse polyomavirus large T-antigen [103].
A number of tumor-types have also been shown to harbor an extensive bacterial microbiome [29,104]. These tumor microbial communities contain a range of pathogens/pathobionts capable of intracellular persistence. For example, Pushalkar et al. identified a distinct and abundant pancreatic microbiome associated with progressive pancreatic cancer in both humans and mice [105]. Genera Pseudomonas and Elizabethkingia were highly abundant and prevalent in human pancreatic ductal adenocarcinoma specimens. A series of experiments in mice showed that transplant of a cancer-promoting microbiome drove oncogenesis by promoting macrophage-mediated suppression of T cell immunity. Targeting the cancer-promoting microbiome in the mice with antibiotics protected against oncogenesis, reversed intratumoral immune tolerance, and enabled efficacy for checkpoint-based immunotherapy.
Riquelme et al. recently used 16S rRNA sequencing to analyze the tumor microbiome composition in pancreatic ductal adenocarcinoma patients with both short-term survival and long-term survival [104]. The study found that tumor-associated bacteria were capable of modulating the tumor metabolic environment, with composition of the intratumoral pancreatic ductal adenocarcinoma microbiome determining the differential enrichment of diverse host metabolic functional pathways and energetic processes.
In a separate bacterial tumor microbiome analysis, Nejman et al. used an extensive combination of methods to study 1526 tumors and their adjacent normal tissues across seven cancer types including lung, bone, melanoma, breast, ovary, pancreas, and brain tumors [29]. Bacterial LPS and 16S rRNA were frequently detected in all tumor types, with breast cancer harboring a particularly rich and diverse community of organisms. Importantly, intratumor bacteria identified by the team were mostly intracellular and were present in both cancer cells and associated macrophage immune cells. In fact, 16S rDNA sequencing suggested that bacteria in tumor cells may have altered their envelope, perhaps leading to a cell wall deficient or L-form intracellular state that favors latent persistence.
In another recent tumor bacterial microbiome study, Poore et al. re-examined whole-genome and whole-transcriptome sequencing studies in The Cancer Genome Atlas of 33 types of cancer treatment-naive patients for microbial reads [106]. Cancer datasets in the analysis included acute myeloid leukaemia, glioblastoma multiforme, prostate adenocarcinoma, breast invasive carcinoma, thyroid carcinoma, and lung squamous cell carcinoma among others. Analysis of the collective 18,116 tumor tissue samples identified unique microbial signatures in tissue and blood within and between most of the major types of cancer examined. The team was even able to discriminate among samples from patients with multiple types of cancer (melanoma, lung and prostate) and those obtained from healthy, cancer-free individuals using only plasma-derived, cell-free microbial nucleic acids.
The team also showed that bacteria from the genus Fusobacteria were over-abundant in primary tumors compared to solid-tissue normal samples analyzed from a separate dataset. Fusobacteria nucleatum has been implicated in colorectal and gastrointestinal cancers by other research teams [107–110]. Not surprisingly, Fusobacterium nucleatum has been shown to modulate glycolysis of colorectal cancer cells by upregulating the long non-coding RNA NO1-IT1, promoting the Warburg effect and tumor growth both in vitro and in vivo [111].
Recent studies have found a high degree of metabolic heterogeneity in human tumors, and in some cases even within distinct regions of the same tumor [19]. In other words, the Warburg-like metabolism associated with cancer progression actually differs among tumors and even among individual patients. This metabolic heterogeneity is consistent with the somewhat distinct Warburg-like states driven by different tumor-associated viruses, and the fact that composition of the bacterial tumor microbiome varies between individual patients.
A range of bacterial pathogens, and even bacterial biofilm communities, have been identified in atherosclerotic plaque [30,31]. Identified pathogens include organisms capable of inducing increased glycolysis and/or a Warburg-like metabolism, such as Porphyromonas gingivalis (P. gingivalis) [112], HCV, CMV, and C. pneumoniae. C. pneumoniae has been shown to directly induce the formation of lipid-containing macrophages called foam cells in both human and murine macrophage [113]. This occurs, at least in part, by the pathogen’s ability to stimulate enhanced low-density lipoprotein binding and entry [114].
C. pneumoniae has been repeatedly identified within atherosclerotic lesions by next generation sequencing technologies, immunohistochemistry and electron microscopy [115,116]. Viable C. pneumoniae organisms and C. pneumoniae-reactive T cells have also been isolated from human atherosclerotic plaque and/or coronary and carotid atheromas [117]. A number of studies in experimental rabbit and mouse models have further demonstrated atherosclerosis development following infection with C. pneumoniae [118–120].
Adipose tissue cells can also favor a Warburg-like metabolism. For example, Diedrich et al. demonstrated that bone marrow adipocytes promote a Warburg phenotype in metastatic prostate tumors via HIF-1α activation [121]. This raises the possibility that Warburg-inducing pathogens or pathogens capable of inducing related pathological metabolic states, may contribute to obesity and diabetes: conditions closely tied to glucose uptake, changes in glycolysis, and altered host metabolic signaling. This is especially true since adipose tissue is no longer regarded as sterile. A recent seminal study used 16S ribosomal RNA (16S rRNA) gene-based bacterial quantification to identify microbial profiles in three adipose tissue depots and the liver and plasma of morbidly obese subjects [22]. Compared with participants in the obese non-diabetic group, morbidly obese individuals with Type 2 diabetes harbored a different microbial profile, with higher Enterobacteriaceae in the mesenteric adipose tissue and plasma, accompanied by a lower abundance of Firmicutes, Bacteroidetes and Deltaproteobacteria. A 1000-fold signal difference between tissue samples and negative controls strongly suggests that the data reflect the presence of actual microbes and not laboratory contaminants.
A number of persistent pathogens have been identified in granuloma tissue of patients with sarcoidosis [33,122,123]. These include Rikettsia helvetica, Propionibacterium acnes, and Warburg-inducing pathogens Borrelia burgdorferi and M.tb [67,124,125]. A main feature of M.tb infection is granuloma formation [126]. M.tb had been shown to induce granuloma formation in infected lung macrophage cells via the Warburg effect, with fatty acids derived from host triacylglycerol [51]. Infected macrophages acquire a foam cell phenotype characterized by the accumulation of lipid droplets [127]. In fact, a large number of genes (250 genes) expressed by M.tb are involved in lipid metabolism [128]. M.tb also triggers the generation of ROS by host macrophage [129].
M.tb and other mycobacteria can survive and persist for decades in a dormant stage within granuloma [130–132]. This suggests that mycobacteria may contribute to sarcoidosis. Indeed, a link between mycobacterial infection and sarcoidosis was proposed decades ago, since distinguishing between sarcoidosis and tuberculosis in a clinical setting can be challenging [133]. Latent tuberculosis reactivation is also frequent in sarcoidosis patients administered corticosteroids to reduce lung inflammation. Mycobacterial DNA has been identified in tissue specimens obtained from patients with sarcoidosis [32,33,134–136]. For example, Rotsinger et al. detected mycobacterial DNA in 33 of 39 sarcoidosis specimens by quantitative real-time PCR compared with 2 of 30 disease control specimens [137]. Twenty of the 39 specimens were additionally positive for three or more mycobacterial genes, compared with 1 of 30 control specimens. A molecular analysis of granuloma obtained from USA sarcoidosis patients identified the presence of nucleic acids of mycobacterial virulence factor superoxide dismutase in 70% of the sarcoidosis specimens as compared to 12% in controls [138].
However, other studies have failed to detect mycobacteria in the lung or other tissues of patients with the disease. This suggests that new methodologies may be required to better identify mycobacteria in a latent state. The activity of mycobacteria and related pathogens like Borrelia burgdorferi in sarcoidosis must also be increasingly studied in concert with that of other pathogens or pathobionts capable of persisting in human tissue and in the lung microbiome, since biofilm formation involving multiple organisms may promote overall pathogen persistence [139].
Inflammatory processes in a number of neurological conditions are also tied to the activity of intracellular pathogens capable of persisting in brain tissue. While the possibility may have seemed far-fetched just a few years ago, the sterility of the brain, especially under conditions of inflammation and chronic illness, is increasingly being called into question. The healthy blood brain barrier is permeable at the circumventricular organs and can become increasingly permeable under conditions of inflammation. Active transport of macrophage from the periphery into the brain may additionally allow intracellular pathogens to enter the brain parenchyma in a Trojan-horse-like fashion [140,141].
Several recently-discovered pathways may also allow pathogens to bypass the blood brain barrier to enter central nervous system (CNS) tissue. Da Mesquita et al. showed that the outer meninges contain a previously-undiscovered lymphatic system connected to cervical lymph nodes. These vessels have the potential to allow infected immune cells direct access to brain tissue [142,143].
Herisson et al. also recently identified microscopic channels that connect skull bone marrow to the lining of the brain [144]. Under conditions of inflammation these channels transport neutrophils, and possibly associated pathogens, directly from the marrow into the CNS.
Robert Moir and team have published a series of papers showing that amyloid beta—the “plaque” that accumulates in the Alzheimer’s brain may form as part of the innate immune response towards pathogens capable of persisting in brain tissue [145]. In one paper, the team demonstrated that amyloid beta oligomers bind herpesvirus surface glycoproteins. This accelerated amyloid beta deposition and led to protective viral entrapment activity in 5XFAD mouse and 3D human neural cell culture infection models against neurotropic Human Herpes Virus 6A, Human Herpes Virus 6B and Human Herpes Virus 1 (HSV-1) [146]. In a related study, other pathogens shown capable of driving amyloid beta formation in a similar fashion included Salmonella typhimurium and Candida albicans [147].
Indeed, neuroinflammation in Alzheimer’s disease is increasingly tied to the activity of pathogens capable of central nervous system invasion, many of which favor intracellular persistence [148,149]. For example, P. gingivalis, a dominant pathogen in chronic periodontitis, was identified in autopsied brains obtained from Alzheimerʼs patients [150]. Toxic proteases created by P. gingivalis called gingipains were also identified in the brains, with levels correlated to tau and ubiquitin pathology. Further experiments demonstrated that oral infection of P. gingivalis in mice resulted in brain colonization and increased production of Aβ1-42, a component of amyloid plaques. Interestingly, in separate studies, P. gingivalis has been shown capable of promoting oral carcinogenesis, in part by dysregulating host cell fatty acid metabolism [151].
Neurotrophic pathogens have also been tied to the development of Parkinson’s disease, myalgic encephalomyelitis (ME/CFS) [152,153], multiple sclerosis [154], schizophrenia, and even epilepsy [155]. For example, Dourmashkin et al. used both transmission electron microscopy and immunohistochemistry to study autopsied brain samples obtained from patients with late-stage Parkinson’s disease [156]. They identified virus-like particles and enterovirus antigens in Parkinson’s brainstem neurons (Figure 5).
Figure 5. Transmission electron microscopy image showing intranuclear virus-like particles (VLPs) lining the internal face of the nuclear membrane of neurons in the Parkinson’s brainstem. The nuclear membrane is indicated by a thick arrow. VLPs are demonstrated by thin arrows. Reproduced from [149], an open access article distributed under the Creative Commons Attribution 4.0 International License (http://creativecommons.org/licenses/by/4.0/).
A number of research teams have now connected the parasite Toxoplasma gondii (T. gondii) to the development of schizophrenia, Alzheimer’s disease, epilepsy and cancer [157]. T. gondii, which is capable of infecting almost any mammalian cell type, can differentiate into a latent form that establishes persistent infection in brain and muscle tissue. Waldman et al. found that disruption of just one T. gondii gene that expresses the protein BFD1 promotes the pathogen’s chronic persistence in the CNS [158]. A number of studies suggest that T. gondii reprograms host cell metabolism in a Warburg-like fashion upon infection [159,160]. For example, acute T. gondii infection results in modification of host protein expression in key metabolic pathways, including glycolysis, lipid and sterol metabolism, apoptosis, and structural-protein expression [161].
Most neurological conditions are also associated with activation of glia, the central nervous system’s innate immune cells, which include microglia, astrocytes, and oligodendrocytes [162]. Microglia, the brain’s resident macrophage cells, can become progressively activated and dysfunctional with age [163–165]. Many of the pathogens identified thus far in autopsied brains obtained from patients with neuroinflammatory disease have been localized inside microglia. For example, in a study of HIV autopsied brains, Branton et al. identified bacterial rRNA in white matter microglial cells by in situ hybridization [155]. Bacterial peptidoglycan immunoreactivity was also localized principally inside microglia of the analyzed brains. HHV-6, which was recently identified in autopsied Alzheimer’s brains [149], also exhibits tropism for microglial cells, with astrocytes also serving as an important reservoir for the virus in a latent state [166].
Hypoxia, or low perfusion of oxygen into tissue, is associated with a number of pathological disease states, including rapid cancer cell growth. Hypoxia in the tumor environment is regulated primarily by HIF-1α. Many studies provide evidence of a strong correlation between elevated levels of HIF-1 and tumor metastasis, angiogenesis, and poor patient prognosis [167,168]. In fact, by its regulation of more than 100 downstream genes, activation of the HIF-1 is central to the ability of tumor cells to manage shifts in oxygen levels [167,169].
Hypoxic areas have also been shown to be present in human atherosclerotic lesions [170]. HIF-1 plays a key role in atherosclerosis development by initiating and promoting foam cell formation, apoptosis, an endothelial cell dysfunction [171]. This increases angiogenesis and contributes to the overall inflammatory environment. Indeed, in mouse models, FDG uptake by macrophages within atherosclerotic plaques has been shown to co-localize with hypoxia and HIF-α expression [36]. The general pro-inflammatory atmosphere in arterial plaque can further stimulate hypoxia. For example, NF-κB regulates HIF-1α expression. This leads to increased expression of GLUT1, which enhances macrophage glucose uptake to meet increasing cellular demand [36]. Activated macrophage that uptake large quantities of glucose begin to secrete high levels of proinflammatory cytokines themselves, which further perpetuates the inflammatory environment.
In sarcoidosis, Talreja et al. found that CD14+ monocytes showed enrichment for metabolic and HIF pathways [16]. Sarcoidosis monocytes and macrophages also had higher protein levels of HIF-1β and HIF-α isoforms and their transcriptional co-activator p300, along with GLUT-1. HIF-1α was also increased in the interior of sarcoidosis granulomatous lung tissues.
Many viral, bacterial and protozoan intracellular pathogens either directly or indirectly enhance HIF-1α stability and activity via various mechanisms [50,172,173]. For example, HIF-α expression and transcriptional activity can be induced by non-mitochondrial ROS in gastric epithelial cells infected with H. pylori bacteria [174]. In a brain organoid model, the virus SARS-CoV-2 was found capable of infecting neurons, where it induced a locally hypoxic environment in neural tissues as measured via staining for elevated HIF-1α [175]. Conversely, a hypoxic environment can promote intracellular pathogen activity and survival. For example, hypoxia can induce EBV reactivation when HIF-1α binds to EBV’s primary latent-lytic switch gene BZLF1 [176].
Cells with a Warburg-like metabolism in cancer, atherosclerosis, and sarcoidosis often produce and secrete proinflammatory cytokines, reactive oxygen species (ROS), and other intracellular mediators [177, 178]. Elevated HIF-1 characteristic of a Warburg metabolism promotes transcription of the proinflammatory cytokine IL-1β [72], and there is even some evidence that glycolysis is specifically required for effector cytokine production [179].
Because ROS and proinflammatory cytokine secretion are also hallmarks of defense by infected cells, their production by cells in a Warburg-like state may, in some cases, also be evidence of infection. ROS are produced as part of cellular defense against pathogens, with compounds such as peroxides produced by host phagocytes exerting antimicrobial action against a broad range of pathogens [86,180]. Cytokines are also regulators of the immune response to infection, with some cytokine-inducible proteins capable of directly attacking pathogens [181].
However, ROS are multi-faceted compounds that are also involved in cell signaling. Additionally, cytokines function as paracrine signaling molecules that activate nearby cells and thus contribute to local inflammation [162]. It follows that if certain cells with a Warburg-like metabolism are infected, and secreting ROS and cytokines, such signaling will recruit healthy immune cells to the impacted body sites. In order to activate and respond to the infection, the cells would additionally adapt a Warburg phenotype, since a Warburg metabolism drives the essential increase in ATP production required to support the innate immune response to infectious insult and tissue injury. This enhances phagocytosis and further supports the rapid production of inflammatory cytokines. Thus, a sustained Warburg metabolism within a tissue may partly reflect the continual activation of immune cells recruited towards a relatively low biomass infection. In other words, signaling molecules released by a relatively small number of infected cells are capable of causing activation of neighboring non-infected cells, triggering a feedforward cascade of Warburg-like metabolism.
Dysregulated lipid metabolism is also a hallmark of cancer cells, which require a rapid and constant supply of fatty acids and lipid to generate bio-membranes and sustain growth [182,183]. Fatty acids are acquired by cancer cells by both endogenous synthesis and exogenous uptake. They are rapidly incorporated into cellular triglycerides that form intracellular lipid droplets [184]. Macrophage foam cells are also characterized by an aberrant accumulation of cytoplasmic lipid droplets, and lipid metabolism alterations plays a role in sarcoid formation [185]. For example, in patients with sarcoidosis, a close relationship between mitochondria and lipid droplets was observed in capillary endothelial cells of the respiratory tract [186].
In 1907 Alois Alzheimer reported that “many glial cells show adipose saccules” in the autopsied brain of an Alzheimer’s patient [187]. More than a century later, Marschallinger et al. identified a “striking buildup” of lipid droplets in microglia in aging human and mouse brains [163]. The team named these cells lipid droplet-accumulating microglia (LAM). These LAM microglia, considered by the team to be in a dysfunctional “primed” state, were defective in phagocytosis and generated elevated levels of ROS. LAM secreted pro-inflammatory cytokines, demonstrated excessive cytokine release upon immune challenge, and produced high levels of pro-inflammatory cytokines even under resting conditions. Microglia in this LAM state account for more than 50% of all resident microglia in the aged hippocampus. The study further revealed an altered metabolic state in LAM microglia. RNA-Seq analysis of lipid droplet-rich microglia in GRN−/− mice and LPS-treated young mice showed significant enrichment of pathways tied to cellular metabolism, including fatty acid beta oxidation and the TCA cycle.
Many persistent pathogens dysregulate host cell lipid metabolism to better survive, which further supports that possibility that some cancer cells, foam cells, or lipid droplet-accumulating cells may be infected. In fact, the ability of many Warburg-inducing pathogens to redirect the host cell glycolytic pathway towards ketone body and lipid synthesis is particularly advantageous for maintenance of their intracellular niche [188]. For example, when M.tb induces a Warburg-like state in host macrophages, glycolytic intermediates are routed towards the synthesis of large lipid droplets that feed the pathogen in the form of nutritional fatty acids [127]. This increased lipid production accounts for the classical ‘foamy phenotype’ of M.tb-infected macrophages [2]. Several tumor-associated viruses have also been shown to induce lipid droplet formation in infected cells. For example, in endothelial cells, KSHV infection alters host cell lipid metabolism to induce intracellular lipid droplet formation by upregulating lipid biosynthesis, peroxisome biosynthesis and associated proteins involved in very long chain fatty acid metabolism [189].
One mechanism by which pathogens impact host lipid metabolism is via peroxisome proliferator receptor gamma (PPAR-γ)-signaling. PPAR-γ is a master regulator of lipid homeostasis that controls fatty acid uptake, storage and lipogenesis [190]. A number of pathogens have been shown capable of modifying PPAR-γ expression [191]. For example, mycobacterial infection of macrophages induces the expression and activation of PPAR-γ, which modulates host cell metabolism toward lipid droplet formation, and diminishes the pro-inflammatory immune response to favor bacterial survival [192]. CMV infection also increases the flow of carbons from glucose to lipid synthesis [193]. By using reporter gene activation assays and confocal microscopy in the presence of a specific antagonist, Rauwel et al. showed that CMV infection induces PPARγ transcriptional activity in infected cells [194]. They further demonstrated that a PPARγ antagonist dramatically impairs CMV virus production.
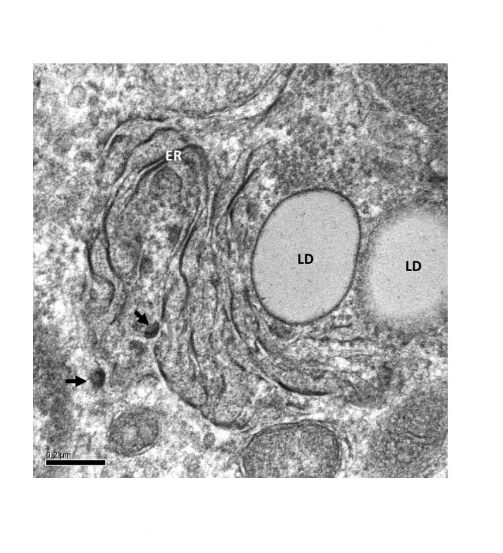
In addition to serving as an energy source for certain bacteria, lipid droplets function as sites of virus assembly, replication, and budding [188,195]. Many viral and parasitic intracellular pathogens specifically utilize host lipid droplets during their life cycle, with certain viruses using lipid droplets as platforms for assembly. For example, the viral capsid protein in dengue virus-infected cells accumulates on the surface of lipid droplets, and pharmacological inhibition of lipid droplet formation greatly reduces dengue virus replication [196]. Rotaviruses are formed in endoplasmic reticulum‐derived vacuoles closely associated with cytoplasmic inclusion bodies called viroplasms. These viroplams are located close to lipid droplets and serve as sites of Rotavirus replication [188]. HCV assembly may also occur at endoplasmic reticulum membranes connected to lipid droplets, with Roingeard et al. demonstrating that HCV structural proteins self‐assemble into HCV‐like particles that bud at endoplasmic reticulum membranes closely associated with lipid droplets (Figure 6).
Indeed, most well-studied intracellular viruses have been shown to optimally persist in a high intracellular lipid environment. Yan et al. even found that coronaviridae specifically modulate the lipid profile of infected Huh7 cells to achieve optimal viral replication [197]. Intracellular protozoans, such as T. gondii and Trypanosoma cruzi have also been shown to induce the accumulation of large lipid droplets in infected macrophages [188]. Genetics and imaging of fatty acid trafficking show that T. gondii triggers lyphophagy of host lipid droplets to secure cellular fatty acids required for its proliferation [88].
Certain pathogens capable of infecting neurons and microglia require lipid droplet formation in order to replicate. These include enteroviruses [198], which have been identified in the central nervous system of patients with conditions such as Parkinson’s, ALS, and ME/CFS [199]. Enteroviruses such as coxsackieviruses, polioviruses, enteroviruses A71 and D68 profoundly manipulate cellular metabolism, with lipid droplet formation playing a central role in the enterovirus life cycle [200]. These viruses recruit lipid droplets to support the lipid synthesis needed for their replication organelle structural development [200].
Genetic variants with effects on lipid metabolism are often found in patients with cancer, atherosclerosis, and other conditions characterized by a Warburg metabolism or related pathological metabolic states. For example, one suggested prognostic marker for stage II colorectal cancer is overexpression of the lipid metabolism-related genes SCD, AGPAT1, ACSL1, and ABCA1 [201]. Subclinical and clinical cardiovascular outcomes can also be predicted by a combination of common lipid level related genetic variants [202,203].
The genetic variant apolipoprotein e4 (ApoE4) is associated with reactive microglia and increased risk of Alzheimer’s development [204]. A number of studies have also found that APOE4 carriers have an increased risk of death from cardiovascular disease, and in some cases diabetes [205]. ApoE, which is primarily expressed by astrocytes and microglia, is a lipoprotein that normally facilitates lipid transport between cells [206]. Certain cells expressing ApoE4 display a dysregulated lipid metabolism characterized by increased intracellular cholesterol secretion and a reduced ability to export such cholesterol [207]. The cholesterol and fatty acids that accumulate inside ApoE4 expressing cells can consequently serve as nutritional and/or replication substrates for intracellular pathogens.
This suggests that ApoE4 and related gene variants that predispose to abnormal lipid metabolism may partly increase disease risk in Alzheimer’s and related conditions by promoting a host cell metabolic state conducive to increased intracellular pathogen survival, proliferation and latency. In fact, Linards et al. found that among ApoE4 carriers, subjects that were IgM positive or had elevated levels of IgG towards HSV-1 had an increased risk of developing Alzheimer’s [208]. No significant association was found in ApoE4-negative subjects. Another study found that HIV-infected subjects with ApoE4 variants had excess dementia and peripheral neuropathy [209].
A pathological Warburg metabolism can be a therapeutic target. For example, the ketogenic diet is a high-fat/low-carbohydrate/adequate-protein diet that targets the Warburg effect [210]. Patients on the diet metabolize ketones, as opposed to glucose, as their primary fuel source. This limits the ability of impacted cells to rapidly import glucose in a manner that favors a pathological, proliferative Warburg state. A growing number of studies demonstrate that the ketogenic diet can have an anti-tumor effect [211]. For example, in mice, Aminzadeh-Gohari et al. studied the anti-tumor effect of a ketogenic diet in combination with or without low-dose chemotherapy on neuroblastoma [212]. They found that the growth of neuroblastoma xenografts was significantly reduced by a ketogenic diet.
The ketogenic diet has also been used since the 1920s as a therapy for treatment-resistant epilepsy, with some studies indicating that over 50% of patients experience significant reductions in seizure frequency [213]. Palmer et al. recently described two cases of schizophrenia remission patients eating a ketogenic diet, both of whom remained free of psychotic symptoms and stopped all antipsychotic medications while on the diet [214]. The ketogenic diet has also been shown capable of improving symptoms in patients with a range of other conditions such as type 2 diabetes, autism, and depression [215]. Short-term use of the ketogenic diet has even improved blood risk factors for cardiovascular disease development [216]. A different study found that long-term use a ketogenic diet significantly reduced the body weight and body mass index of obese patients [217]. In the same patients, the diet additionally led to a decrease in triglyceride levels, LDL cholesterol levels and blood glucose, along with an increase in HDL cholesterol levels, without producing any significant side effects. However, is important to note that symptom improvement on the ketogenic diet is not usually permanent, with symptoms returning if a patient resumes glucose and carbohydrate consumption.
The ability of the ketogenic diet to control symptoms in patients with various inflammation-linked disease states emphasizes the detrimental nature of a pathological Warburg state. The ketogenic diet may curb symptoms in cancer, epilepsy and related conditions simply by preventing sterile cells from adapting a Warburg-like metabolism. However, it is also possible that the ketogenic diet impedes intracellular viruses, bacteria and parasites from hijacking cellular metabolism in a Warburg-like manner that favors their own survival and replication needs. Intracellular viruses, which require a Warburg-like host cell metabolic environment in order to replicate and manufacture virons would be particularly thwarted by the decrease in cellular glucose uptake induced by the ketogenic diet. The ketogenic diet may subsequently prevent the successful proliferation of intracellular pathogens in patients with chronic inflammatory disease, or even in acute viral disease. For example, Goldberg et al. infected mice with the influenza virus, and found that mice fed a ketogenic diet had a higher survival rate than mice fed a high-carb normal diet [218].
The Warburg effect refers to a metabolic state in which cells preferentially use aerobic glycolysis rather than oxidative phosphorylation to generate ATP and macromolecules. While the altered metabolic state allows for more rapid ATP production it is significantly less metabolically efficient overall, with only 2 ATP generated per molecule of glucose (as opposed to the nominal 36 ATP produced via OXPHOS). This altered Warburg metabolism results in increased cellular glucose uptake and increased cellular lactate output, even in the presence of adequate oxygen. Nearly all mammalian cells have evolved to enter a Warburg-like state in order to produce rapid bursts of ATP that fuel vital processes such as phagocytosis and cellular replication and division. However, it appears that the Warburg-like state required for such processes is generally intended to be temporary, with healthy cells frequently returning to a non-Warburg/OXPHOS metabolism under normal resting conditions.
A range of chronic diseases including cancers, atherosclerosis, and sarcoidosis are characterized by host cells in a perpetual, pathological Warburg-like state. The collective activity of such cells is largely detrimental to the host, with rapid ATP production used to drive a range of pathological processes including tumor proliferation and over-accumulation of intracellular lipid droplets. While host cells could theoretically enter this pathological Warburg-like state of their own accord, evolution dictates that a trait so detrimental to host survival would have been weeded from the population. Instead, the incidence of nearly every chronic inflammatory disease connected to a pathological Warburg-like metabolic state has remained consistent or is on the rise.
One explanation for why certain host cells enter a Warburg-like state in cancer, atherosclerosis, and related inflammatory conditions is that they are being “pushed” into a Warburg-like metabolism by external environmental influences. Indeed, most well-studied human viral, bacterial, and protozoan intracellular pathogens induce a Warburg-like or altered metabolic state upon infection. These pathogens hijack host cellular metabolism in order to redirect glycolysis and mitochondrial TCA cycle intermediates towards the biosynthesis of lipid droplets, fatty acids, amino acids and nucleotides required for their own nutritional and survival needs. Glycolysis is consequently the preferred host metabolism for most obligate intracellular bacteria, and intracellular viruses literally require that infected cells enter a Warburg-like/altered metabolic state in order to successfully create new virons and replicate. Because organelles such as mitochondria and certain lipids participate in the host immune response, metabolic alterations in infected cells may also result from host defense strategies to combat the infecting pathogen.
A number of tumor types have now been shown to harbor extensive bacterial microbiomes containing intracellular pathogens capable of modulating host cell metabolism. Intracellular viruses that induce a Warburg-like metabolism upon infection of host cells such as Epstein-Barr virus, Cytomegalovirus, and Human Papilloma Virus are additionally being identified in a wide range of tumor types previously regarded as sterile. Warburg-inducing pathogens such as Chlamydia pneumonia and Mycobacterium tuberculosis have also been identified inside macrophage foam cells in atherosclerotic plaque and in granuloma tissue specimens obtained from patients with sarcoidosis (respectively).
Although not always Warburg in nature, neurological or neuroinflammatory conditions such as schizophrenia, Alzheimer’s disease and ME/CFS are also characterized by altered cerebral metabolism. Inflammation and microglial activation in such conditions is increasingly being tied to the activity of bacterial, viral and protozoan intracellular pathogens capable of persisting brain tissue, especially under conditions of imbalance and immunosuppression. For example, P. gingivalis, a bacterial pathogen that can promote oral carcinogenesis by dysregulating host cell fatty acid metabolism, was recently identified in Alzheimer’s autopsied brains (along with the toxic gingipain proteins it expresses).
This strongly supports the possibility that some host cells in a sustained, pathological Warburg-like state may be infected with intracellular pathogens. Indeed, cells with a pathological Warburg-like metabolism such as cancer cells, endothelial cells in arterial plaque, and alveolar macrophage in granuloma often display additional hallmarks of cellular defense towards infection including ROS generation and secretion of proinflammatory cytokines. Secretion of these compounds can further recruit and activate non-infected cells into a proinflammatory state that further drives and sustains the overall disease process. In other words, a pathological Warburg metabolism within a tissue may partly reflect the continual activation of immune cells recruited towards a low biomass infection.
Under such circumstances, observation of a Warburg-like metabolism and inflammation in a host cell type could be used to rationalize analyzing such cells for the presence of intracellular pathogens. For example, pulmonary arterial smooth muscle cells in patients with pulmonary hypertension harbor a Warburg metabolism [219]. Could at least some of the arterial smooth muscle cells in patients with the disease be infected or affected by the products of either pathogens already known to modulate host cell metabolism, or pathogens yet-to-be studied in such a capacity?
The prospect that cells in a pathological Warburg-like state may be infected opens up a new avenue of research on possible therapeutics for cancer and other conditions tied to altered cellular metabolism. Already, some patients with cancer, atherosclerosis, epilepsy and related chronic diseases are reporting symptom improvement, or even symptom remission, from eating a high-fat/low sugar ketogenic diet that decreases the ability of host cells to uptake glucose and sustain a Warburg-like state. This suggests that selective metabolic inhibitors designed to deprive pathogens of key nutritional and replication-based substrates co-opted from host cell glycolysis/TCA intermediates, or therapies that prevent pathogens from inducing a Warburg-like state in host cells in the first place, might additionally benefit patients with such conditions.
To best support these translational possibilities, future research must further elucidate the exact molecular mechanisms by which particular intracellular pathogens and their proteins and metabolites modulate host cell metabolic signaling. A push for such studies to occur in animal models that best correlate with a human in vivo environment is warranted. When possible, use of primary host cells and living, intracellular bacteria, viruses, and protozoan pathogens at biologically plausible concentrations is also optimal. In addition, most studies on pathogen-hijacking of host cell metabolism have been conducted during acute infection. However, the intracellular pathogens that contribute to conditions such as cancer, atherosclerosis, and sarcoidosis often persist in latent or chronic states. A better understanding of how the same pathogen may differentially impact host cell metabolic programming during acute versus chronic infection would further add to an overall understanding of immunometabolic changes in chronic inflammatory disease.
AP and MV conceived of and conceptualized the work. AP and MV drafted the article and critically revised the article. Both authors discussed the literature review and contributed to the final manuscript.
The authors declare that they have no conflicts of interest.
Grateful thanks to Dr. Clovis Palmer, Dr. Lena Pernas, Dr. Douglas Kell, and Dr. Wonder Drake for insightful comments on an earlier draft of the manuscript. Thank you to Matt LePage, Dr. Darin Doughtery, Dr. Lisa Shin, and Kris Fobes for support and encouragement. Special thanks to the PolyBio Research Foundation donors.
1.
2.
3.
4.
5.
6.
7.
8.
9.
10.
11.
12.
13.
14.
15.
16.
17.
18.
19.
20.
21.
22.
23.
24.
25.
26.
27.
28.
29.
30.
31.
32.
33.
34.
35.
36.
37.
38.
39.
40.
41.
42.
43.
44.
45.
46.
47.
48.
49.
50.
51.
52.
53.
54.
55.
56.
57.
58.
59.
60.
61.
62.
63.
64.
65.
66.
67.
68.
69.
70.
71.
72.
73.
74.
75.
76.
77.
78.
79.
80.
81.
82.
83.
84.
85.
86.
87.
88.
89.
90.
91.
92.
93.
94.
95.
96.
97.
98.
99.
100.
101.
102.
103.
104.
105.
106.
107.
108.
109.
110.
111.
112.
113.
114.
115.
116.
117.
118.
119.
120.
121.
122.
123.
124.
125.
126.
127.
128.
129.
130.
131.
132.
133.
134.
135.
136.
137.
138.
139.
140.
141.
142.
143.
144.
145.
146.
147.
148.
149.
150.
151.
152.
153.
154.
155.
156.
157.
158.
159.
160.
161.
162.
163.
164.
165.
166.
167.
168.
169.
170.
171.
172.
173.
174.
175.
176.
177.
178.
179.
180.
181.
182.
183.
184.
185.
186.
187.
188.
189.
190.
191.
192.
193.
194.
195.
196.
197.
198.
199.
200.
201.
202.
203.
204.
205.
206.
207.
208.
209.
210.
211.
212.
213.
214.
215.
216.
217.
218.
219.
Proal AD, VanElzakker MB. Pathogens Hijack Host Cell Metabolism: Intracellular infection as a Driver of the Warburg Effect in Cancer and Other Chronic Inflammatory Conditions. Immunometabolism. 2021;3(1):e210003. https://doi.org/10.20900/immunometab20210003

Copyright © 2020 Hapres Co., Ltd. Privacy Policy | Terms and Conditions